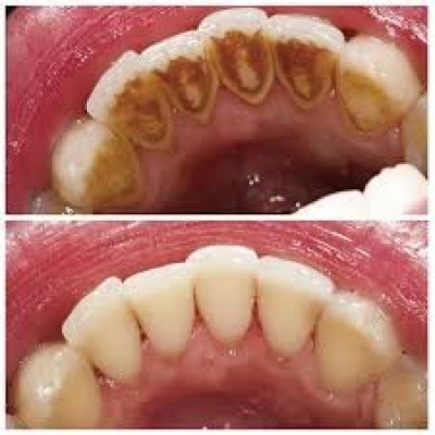
At 4 Seasons Dental in Milton-Freewater, OR, we offer professional dental cleaning services designed to keep your smile bright, healthy, and free of plaque. Leveraging advanced techniques and a patient-focused approach, our team ensures a comfortable and efficient experience. Join our community of satisfied patients and elevate your oral hygiene with our top-notch care. Schedule your next dental cleaning with us today!
https://www.4seasonsdentalmf.com/



